Adiar ida ao dentista pode custar o dente e gerar problemas de saúde, alerta especialista
Redação Amazonas em Notícias 22 de janeiro de 2026 0 COMMENTS
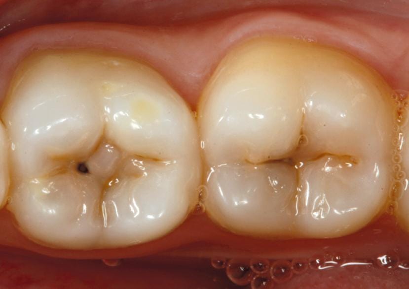
O hábito de “empurrar com a barriga” a ida ao dentista diante de um dente furado ainda é comum entre muitos brasileiros. No entanto, o que parece ser apenas um pequeno buraco pode se transformar em um problema sério de saúde bucal e até geral, segundo alerta o cirurgião-dentista Paulo Grandal.
De acordo com o especialista, a cárie sempre começa de forma discreta, mas tende a evoluir com o passar do tempo quando não é tratada. “O risco maior é a perda do dente. A cárie começa pequena e, conforme você não resolve o problema, ela vai aumentando”, explica.
Com o avanço da lesão, as consequências vão além do desconforto inicial. “O paciente pode ter dor, inflamação e, se essa cárie atingir partes mais profundas do dente, como o nervo, isso acaba causando dor intensa”, afirma Grandal. Ele compara o processo à ferrugem: “É como uma ferrugem na base de uma geladeira. Se não for removida logo, ela vai crescer cada vez mais”.

Tratamento simples evita problemas maiores
Segundo o dentista, quando a cárie é identificada no início, o tratamento é relativamente simples. “A restauração é feita retirando todo o tecido careado, toda a bactéria que está ali prejudicando o dente, e depois colocamos uma resina para tampar o buraco e evitar que a cárie continue aumentando”, detalha.
Ignorar esse cuidado básico pode levar a situações mais complexas no futuro. “Se a pessoa não fizer isso, a cárie vai só crescer, crescer, até que um dia ela acaba perdendo o dente”, alerta. Nesse estágio, a solução costuma ser mais cara e trabalhosa. “Lá na frente, pode ser necessário fazer um implante, o que gera muito mais dor de cabeça e gasto financeiro”, completa.
Prevenção é a melhor escolha
Para o especialista, a cárie é um dos menores problemas que podem surgir na saúde bucal justamente por ser fácil de resolver quando tratada cedo. “É fundamental procurar o dentista assim que perceber qualquer sinal, por menor que seja, para evitar problemas maiores lá na frente”, orienta.
O alerta reforça que cuidar do dente furado não é apenas uma questão estética, mas de saúde e qualidade de vida. Quanto mais cedo o tratamento, menores são os riscos — e o prejuízo.
Laryssa Gomes Tavares Repórter policial e diretora executiva do portal Amazonas em Notícias







